Main menu
Common skin conditions
NEWS
Join DermNet PRO
Read more
Quick links
Author: Assoc Prof Patrick Emanuel, Dermatopathologist, Auckland, New Zealand, 2013.
Introduction Histology Special studies Differential diagnosis
Apocrine hidrocystomas are regarded by some authorities to represent cystic retention of apocrine glands. Others believe they are adenomatous lesions.
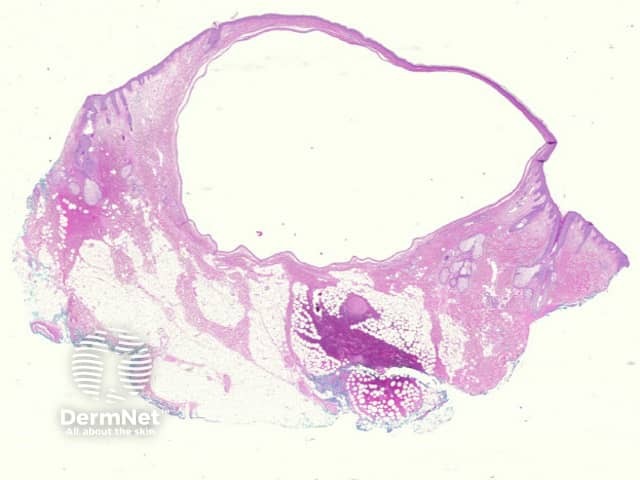
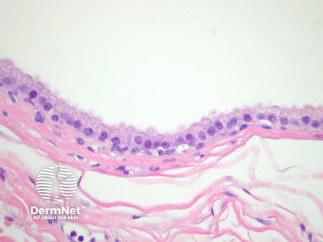
A cystic space occupies the dermis which may be unilocular (figure 1) or multilocular. The cystic space is lined by a bilaminar epithelium which has on its inner portion cells which are columnar, eosinophilic and show prominent luminal blebbing (‘apocrine snouts’) (figures 2 and 3).
Epithelial proliferations may be seen within the cyst.

Figure 1

Figure 2

Figure 3
No special studies are needed for apocrine hidrocystoma.
Eccrine hidrocystoma: Some authorities believe these too are of apocrine origin. They are lined by an attenuated epithelium. Decapitation secretions are absent.