Main menu
Common skin conditions
NEWS
Join DermNet PRO
Read more
Quick links
Infestations Diagnosis and testing
Authors: Dr Achala Liyanage, Dermatology Fellow, Waikato Hospital, Hamilton, New Zealand; Assoc Prof Patrick Emanuel, Dermatopathologist, Auckland, New Zealand. January 2015.
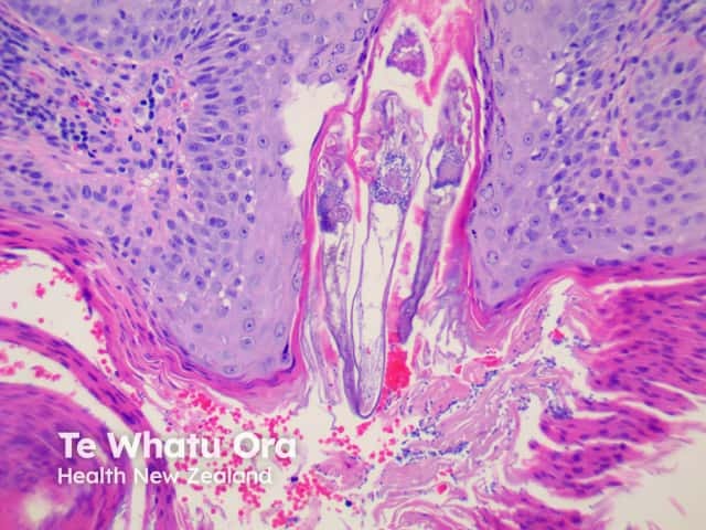
Demodicosis is caused by two species of follicular mites, Demodex folliculorum and Demodex brevis, which are normal inhabitants of human skin. Although the mites are ubiquitous on sebaceous-rich skin, they sometimes cause dermal reaction and consequent erythema, pustules, and inflammatory plaques.
Microscopically, demodicosis has follicular and perifollicular chronic inflammation with follicular dilatation and dense homogenous eosinophilic material surrounding the mites. There can be granulomatous tissue reaction.

Figure 1

Figure 2
Images provided by Dr Duncan Lamont, Waikato Hospital
Usually none are required.
Rosacea