Main menu
Common skin conditions
NEWS
Join DermNet PRO
Read more
Quick links
Infestations Diagnosis and testing
Author: Adjunct A/Prof Patrick Emanuel, Dermatopathologist, Clinica Ricardo Palma, Lima, Peru. DermNet Editor-in-chief: Adjunct A/Prof Amanda Oakley. July 2018.
Introduction
Histology
Special studies
Differential diagnosis
Cutaneous larva migrans is a parasitic skin infection caused by helminth larvae that usually infest cats, dogs and other animals. Humans can be infected with the larvae by walking barefoot on sandy beaches or contacting moist soft soil that have been contaminated with animal faeces. It is also known as creeping eruption, as once infected, the larvae migrate under the skin's surface and cause itchy red lines or tracks.
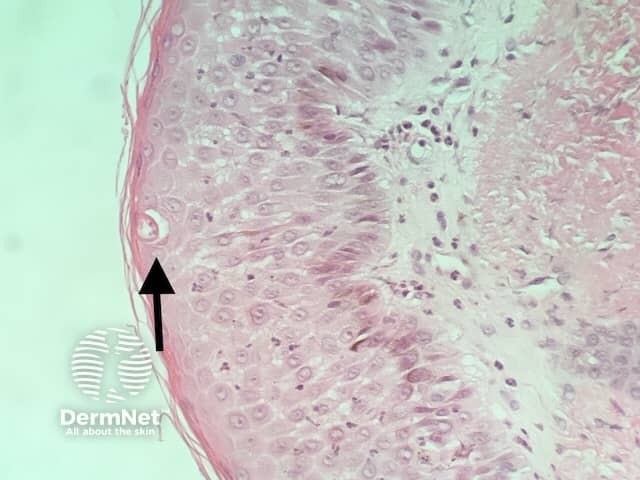
In larva migrans, histopathologic examination shows curvilinear eosinophilic larvae within the epidermis (figures 1,2, arrow). The larvae may be seen in the superficial epidermis (as in this case illustrated) or deeper in the superficial dermis. There may be an inflammatory reaction rich in eosinophils.

Figure 1

Figure 2
None are generally needed. Consultation with colleagues in microbiology can be helpful in unusual cases.
Infestation with scabies, superficial fungal infections and deeper infestations can usually be readily distinguished on clinical grounds.