Main menu
Common skin conditions
NEWS
Join DermNet PRO
Read more
Quick links
Reactions Diagnosis and testing
Author: A/Prof Patrick Emanuel, Dermatopathologist, Auckland, New Zealand, 2013.
Warfarin necrosis is a paradoxical blood clotting occurring in patients on warfarin therapy. It occurs in approximately one in every 10,000 patients prescribed warfarin.
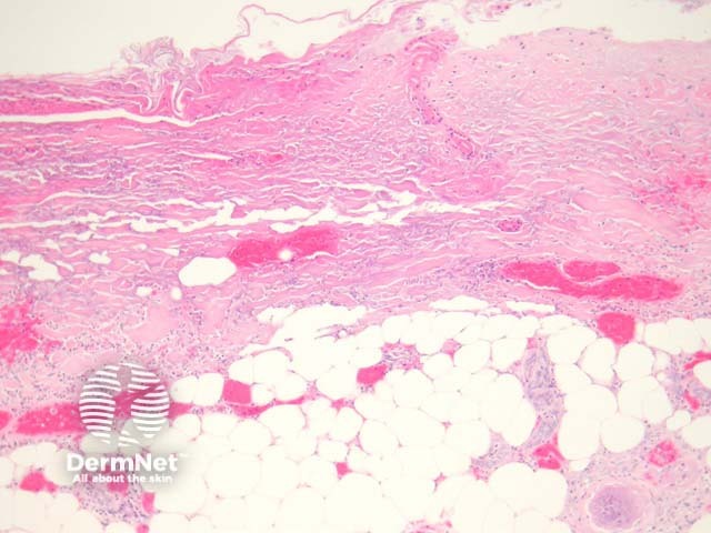
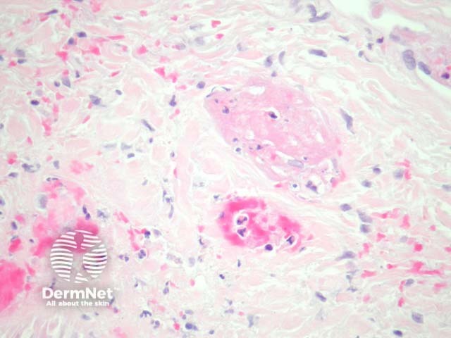
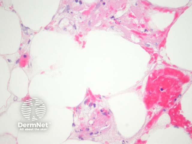
In warfarin necrosis, sections show variable degrees of epidermal and dermal necrosis (figure 1). There are extensive intravascular thrombi within capillaries and venules (figures 2, 3). There remaining patent vessels are dilated.

Figure 1

Figure 2

Figure 3
None are needed.
Disseminated intravascular coagulation, coagulopathy – May be morphologically identical. Clinical correlation is essential.
Septic thrombi – Usually neutrophils and other inflammatory cells are also present. Special stains for microorganisms and correlation with blood culture results can be helpful.