Main menu
Common skin conditions
NEWS
Join DermNet PRO
Read more
Quick links
Created 2009.
The so-called connective tissue diseases are the result of environmental stimuli (such as drugs, infection or exposure to ultraviolet radiation) in genetically predisposed individuals. They are associated with a range of circulating autoantibodies.
Severe discoid LE Subacute cutaneous LE 

Systemic lupus (SLE) is characterised by:
Drug-induced lupus may be due to a variety of antibiotics (in adolescents, most often minocycline), antihypertensive and anti-inflammatory medications.

Butterfly rash

Discoid lupus
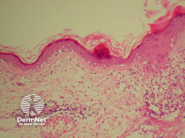
Dermatopathological findings in SLE include a lichenoid tissue reaction and a band of immunoglobulins at the dermo-epidermal junction (detected by direct immunofluorescence of clinically involved skin).
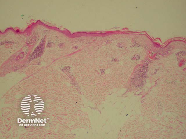
Dermatopathology of systemic lupus erythematosus This shows a dense perivascular and periadnexal lymphocytic inflammatory infiltrate and interface changes with vacuolar degeneration of basal layer

Low power view

Medium-powered view

High-power view
Investigations should include:
Scleroderma (tight skin) is seen in the following conditions:
Morphoea is characterised by ivory white oval sclerotic plaques with an inflamed edge that eventually result in post-inflammatory pigmentation and dermal or subcutaneous atrophy. It is not uncommon in children and adolescents.
A linear variety can involve underlying muscle and bone and is more common in children. If it affects the face and /or scalp, it is also known as en coup de sabre.

Morphoea

Linear morphoea

En coup de sabre
Systemic sclerosis is characterised by progressive accumulation of collagen, fibrosis and loss of mobility of the skin and other organs such as the respiratory and gastrointestinal tracts. it is exceedingly rare in children
The CREST variant (Calcinosis, Raynaud's, oEsophageal, Sclerodactyly, Telangiectasia) may have less severe systemic manifestations.
Treatment is mainly symptomatic at this time.

Severe digital resorption

CRST syndrome

Calcinosis cutis
Chronic graft-versus-host disease (GVHD)

Heliotrope rash

Gottron papules
Systemic-onset juvenile rheumatoid arthritis is sometimes associated with an evanescent salmon-pink rash on the trunk. Rheumatoid nodules, vasculitis and leg ulcers are more common in adults with rheumatoid disease.
Describe the management of cutaneous lupus erythematosus in pregnancy.
Information for patients
See the DermNet bookstore