Main menu
Common skin conditions
NEWS
Join DermNet PRO
Read more
Quick links
Lesions (cancerous) Systemic diseases
Author: Adjunct A/Prof Patrick Emanuel, Dermatopathologist, Clinica Ricardo Palma, Lima, Peru. DermNet Editor-in-chief: Adjunct A/Prof Amanda Oakley. July 2018.
Introduction Histology Special studies Differential diagnoses
Mesothelioma is a malignant tumour arises from mesothelial lining of pleura, peritoneum, pericardium and tunica vaginalis — pleural mesothelioma is the most common of these. Metastasis to the skin may be the initial presentation, and subsequent radiological examinations find the primary tumour in the lung. There is a well established link between mesothelioma and asbestos exposure.
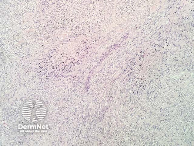
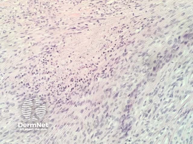
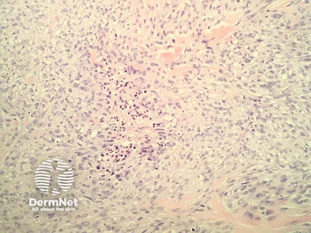
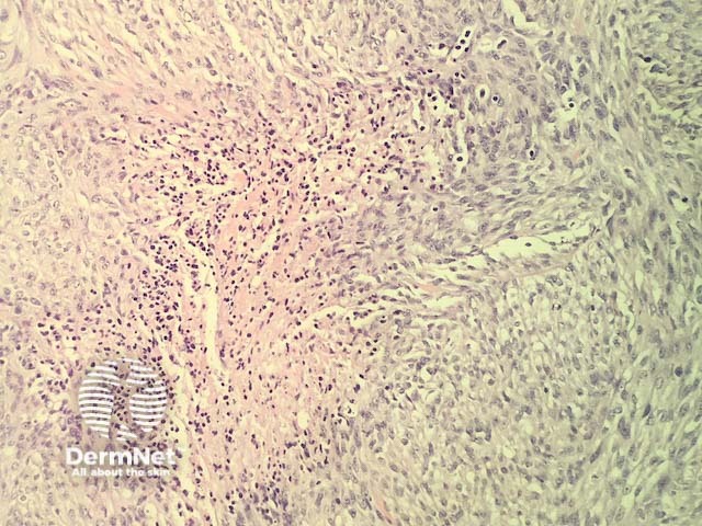
In mesothelioma, histopathology shows a diverse range of patterns: epithelioid, sarcomatous and biphasic (mixed). The majority of cases show a mixed pattern of epithelioid and spindled cells. In each of these subtypes the cells show marked nuclear atypia and invasion into surrounding structures. Metastasis to the skin usually shows a dermal tumour, often with overlying ulceration (figure 1). Higher power examination shows malignant cells with a variety of cell shapes ranging from tubulopapillary, spindled, clear cell, and small cell types. The example illustrated here is predominantly sarcomatous with a preponderance of spindled cells (figures 2-5). There are zones of necrosis (figures 3-5).

Figure 1

Figure 2

Figure 3

Figure 4

Figure 5
Immunohistochemical studies are essential for diagnosing mesothelioma and differentiating it from mimickers. Mesothelioma usually shows positivity for calretinin, CK5/6, WT1, D2-40.
Dermal sarcoma (eg, atypical fibroxanthoma) — These can show an almost identical histology but immunohistochemistry will be negative with keratins and calretanin
Metastatic adenocarcinoma — A battery of immunohistochemical studies is needed to exclude adenocarcinoma in cases of mesothelioma with a prominent epithelioid component. Adenocarcinoma is negative with calretinin, CK5/6, WT1, D2-40.
Melanoma — Melanoma is a tumour which can have diverse morphologies including a biphasic spindled/epithlioid pattern. S100, Sox-10 are usually negative in mesothelioma and positive in melanoma
Synovial sarcoma — These tumours are also often biphasic but do not express calretinin. In difficult cases FISH can be used to search for the usual translocations seen in synovial sarcoma