Main menu
Common skin conditions
NEWS
Join DermNet PRO
Read more
Quick links
Author: Harriet Cheng BHB, MBChB, Dermatology Unit, Waikato Hospital, New Zealand, 2013.
Polyarteritis nodosa is a rare vasculitis affecting small and medium-sized arteries. The systemic form affects many organ systems including kidneys, liver, gastrointestinal tract and nervous system. Skin involvement is seen in approximately 10% of cases. In contrast, the cutaneous form may be accompanied by mild constitutional symptoms but there is otherwise little systemic involvement. It has a more favourable prognosis although runs a chronic relapsing and remitting course. Cutaneous signs include tender papules and plaques, purpura, livedo reticularis, skin necrosis and ulceration.
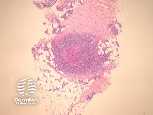
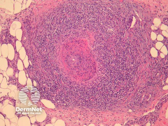
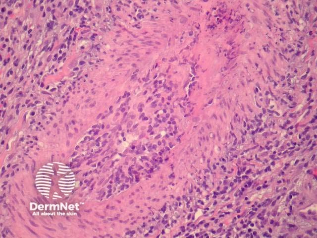
Histological features of systemic and localised cutaneous forms of polyarteritis nodosa are similar. A deep biopsy is preferred as cutaneous polyarteritis nodosa involves medium-sized vessels in the deep dermis and subcutis (Figure 1). Early lesions show fibrinoid necrosis with thickening and infiltration of the vessel wall. Neutrophils, eosinophils and lymphocytes are present (Figures 2,3). Leucocytoclasis may be present. Thrombi and aneurysmal change may occur and lead to necrosis of the overlying epithelium. In mature lesions vessel occlusion occurs secondary to intimal and mural fibrosis. Lesions at various stages are characteristic and changes are discontinuous with uninvolved skip lesions between affected segments.

Figure 1

Figure 2

Figure 3
Immunofluorescence may be positive for IgM and C3 in the vessel walls. Elastic–van Gieson staining may show disruption of the vessel internal elastic lamina.
Microscopic polyangiitis: Involvement of capillaries and venules in addition to the arteriolar involvement seen in polyarteritis nodosa is a major point of distinction between the two disorders.
Leucocytoclastic vasculitis: Primarily affects capillaries and venules (and not arterioles). Changes are primarily in the superficial dermis, although severe cases may extend to the subcutis, whereas polyarteritis nodosa affects deep vessels.