Main menu
Common skin conditions
 
                    
                    
                    
                NEWS
Join DermNet PRO
Read more
Quick links
Author: Assoc Prof Patrick Emanuel, Dermatopathologist, Auckland, New Zealand, 2013.
Synovial metaplasia is a change seen most frequently in the tissues surrounding silicone breast prostheses and in healing tissue adjacent to joint prostheses. In the skin and soft tissues, identical features may be seen, frequently in healing or healed traumatic or surgical wounds.
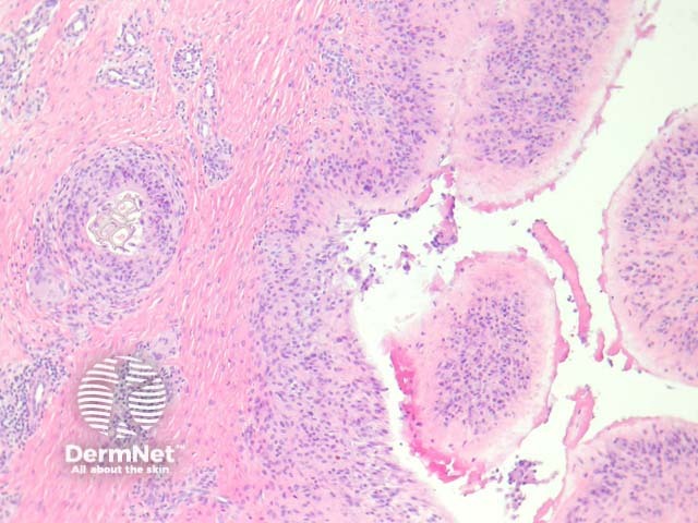
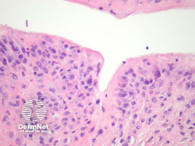
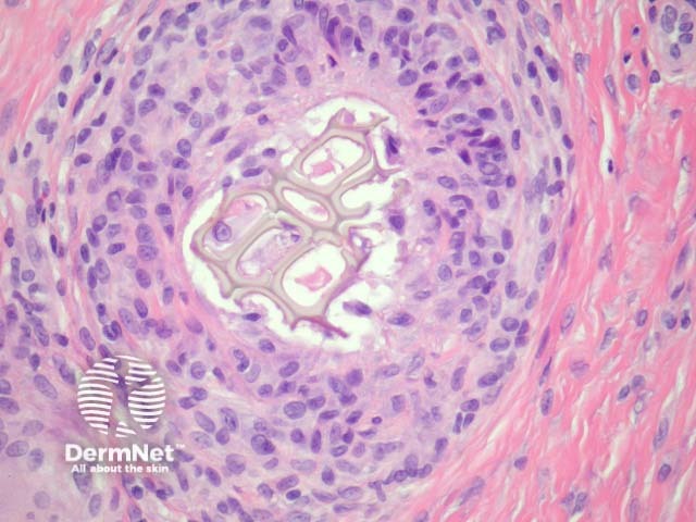
Sections show a irregularly shaped cystic space without an epithelial lining (ie a pseudocyst) surrounded by a dense fibrosis (figure 1). The pseudocyst is lined by a characteristic membrane similar to hyperplastic synovium: the cells of the membrane showed an eosinophilic spindle shaped cytoplasm with processes towards the lumen, which is identical to synovium (figure 2, right hand side; figure 3). It is not uncommon to find foreign material (figure 2, left hand side; figure 4) surrounded by a foreign body reaction and/or synovial metaplasia.

Figure 1

Figure 2

Figure 3

Figure 4
None are generally needed
Synovium – Hyperplastic synovium can be impossible to distinguish from synovial metaplasia. Distinction can be impossible in soft tissue adjacent to a joint space. Identification of foreign material favours synovial metaplasia.