Main menu
Common skin conditions
NEWS
Join DermNet PRO
Read more
Quick links
Lesions (cancerous) Follicular disorder
Author: A/Prof Patrick Emanuel, Dermatopathologist, Auckland, New Zealand, 2013.
Introduction
Histology
Special studies
Differential diagnoses
Tumours of the follicular infundibulum are rare, arise in the head and neck, and clinically resemble superficial basal cell carcinoma. Rarely, there are multiple tumours, when they have been associated with Cowden disease. They are also known as “follicular infundibulum tumour” or “infundibuloma”.
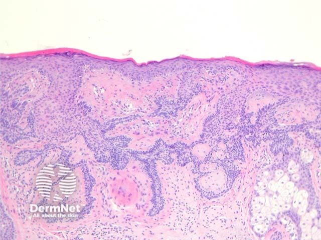
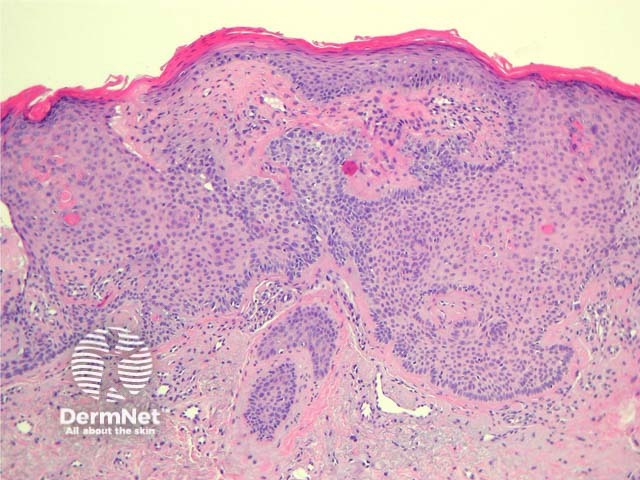
In tumour of the follicular infundibulum, sections show an acanthoma composed of pale pink cells and sometimes clear cells. The tumour forms anastomosing narrow strands that run parallel to the epidermis. These strands have peripheral palisading of basaloid cells (figures 1, 2).

Figure 1

Figure 2
None are generally needed.
Basal cell carcinoma – Though both tumours show peripheral palisading, the tumour cells of tumour of the follicular infundibulum are pale pink or glycogenated rather than basaloid throughout. Anastamosing thin strands running parallel to the epidermis are generally not seen or only focally seen in basal cell carcinoma