Main menu
Common skin conditions
NEWS
Join DermNet PRO
Read more
Quick links
Author: Adjunct Assoc. Prof. Amanda Oakley, Dermatologist, Hamilton, New Zealand, March 2020.
Introduction Demographics Causes Clinical features Diagnosis Differential diagnoses Treatment
A Heberden node describes a bony swelling of the distal interphalangeal finger joint. It is a sign of osteoarthritis, a degenerative joint disease.
A Bouchard node is a similar swelling affecting the proximal interphalangeal finger joint [1].

Heberden node

Heberden node
Heberden and Bouchard nodes are equally common in males and females of all races.
A Heberden or Bouchard node is due to an exostosis — a bony enlargement — and a sign of osteoarthritis. The cause of osteoarthritis is not fully understood. There is a genetic predisposition to the development of nodes [1].
Osteoarthritis is considered a sign of 'wear and tear' in a joint. The earliest structural abnormalities in osteoarthritis are evident in the ligaments supporting the joints [4]. The cartilage of the joints breaks down, osteophytes (bone spurs) develop, and the ends of the bones rub against each other.
Inflammation in the nodes is due to friction-induced capsular rupture and synovial leakage [1].
A Heberden node is a bony swelling of a distal interphalangeal joint and a Bouchard node is a bony swelling of the proximal interphalangeal joint.
As well as affecting fingers, osteoarthritis causes discomfort, pain, and stiffness in other joints of the hands, knees, hips, and spine.

Heberden node and myxoid pseudocyst
The diagnosis of Heberden or Bouchard node is usually made clinically due to their characteristic appearance. Imaging may be performed on the affected digit.
Histological examination of Heberden or Bouchard node is not commonly undertaken. It may show the presence of osteophytes and dorsal contractures.

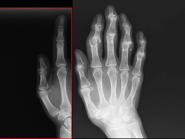
X-ray of Heberden and Bouchard nodes
The differential diagnosis of a Heberden or Bouchard node includes [5]:
There is no specific treatment to repair a Heberden or Bouchard node.
Treatment for osteoarthritis may include lifestyle changes such as exercise, weight loss, low-inflammatory diet, heat bags, and cold compresses.
Medical treatments include pain relief and nonsteroidal anti-inflammatory drugs [9,10].
Some patients with osteoarthritis may require surgery to repair or replace one or more joints.